★★★★★
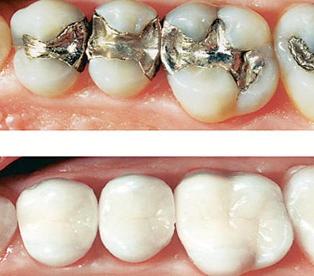
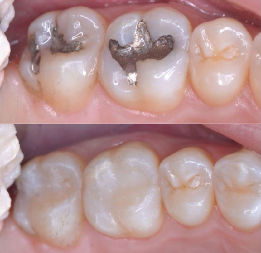
Trajtimet rutinore dentare, ekzaminimet apo kontrollet, këshillat për dhëmbë të shëndetshëm, pastrimet, ekstraksionet, mbushtjet, silantet dhe trajtimet e kanaleve të rrënjëve, të gjitha në një vend.
Mund të na kontaktoni me: WhatsUp (8am - 5pm):+355 69 443 6019+383 45 252 710e-mail: kontakt@hollywoodsmile-al.com Apo përmes webfaqes tonë në kontakt format përkatëse:www.hollywoodsmile-al.com